La claudicación neurógena (NC), o pseudoclaudicación, es un síntoma o forma de presentación de la estenosis espinal (llamada corrientemente «estenosis de canal»), o inflamación de los nervios en su salida de la médula espinal. El término «neurogéna» da a entender que el problema se origina en los nervios, y la palabra "claudicación", que procede de su palabra equivalente en latín, que quiere decir «cojera», significa que el paciente percibe una debilidad o sensación dolorosa de calambres en los muslos o las piernas.[1]
Debe distinguirse la claudicación neurógena de la claudicación vascular, también conocida como claudicación intermitente, que se origina por un problema circulatorio, de aporte sanguíneo a los músculos de las piernas. La claudicación neurógena puede consistir en una sensación unilateral o bilateral de disconfort, dolor o debilidad en la pantorrilla, región glútea o muslo. En algunos pacientes se presenta cuando el paciente camina o cuando permanece de pie un tiempo prolongado. Clásicamente el dolor no se alivia con el simple reposo, (como pasa en la claudicación vascular), sino que el paciente con claudicación neurógena necesita cambiar la posición de su cintura, inclinándose hacia delante, (posición antropoide). Por ello los pacientes con claudicación neurógena tienen más capacidad para subir escalones que para bajarlos, empujar carros o practicar ciclismo, (a diferencia de los que tienen claudicación vascular, en los que se puede observar un empeoramiento de los síntomas al subir escaleras o permanecer sentados).[1]
En algunos pacientes con compresión severa de las raíces nerviosas la claudicación neurógena no es intermitente, sino dolorosamente persistente.
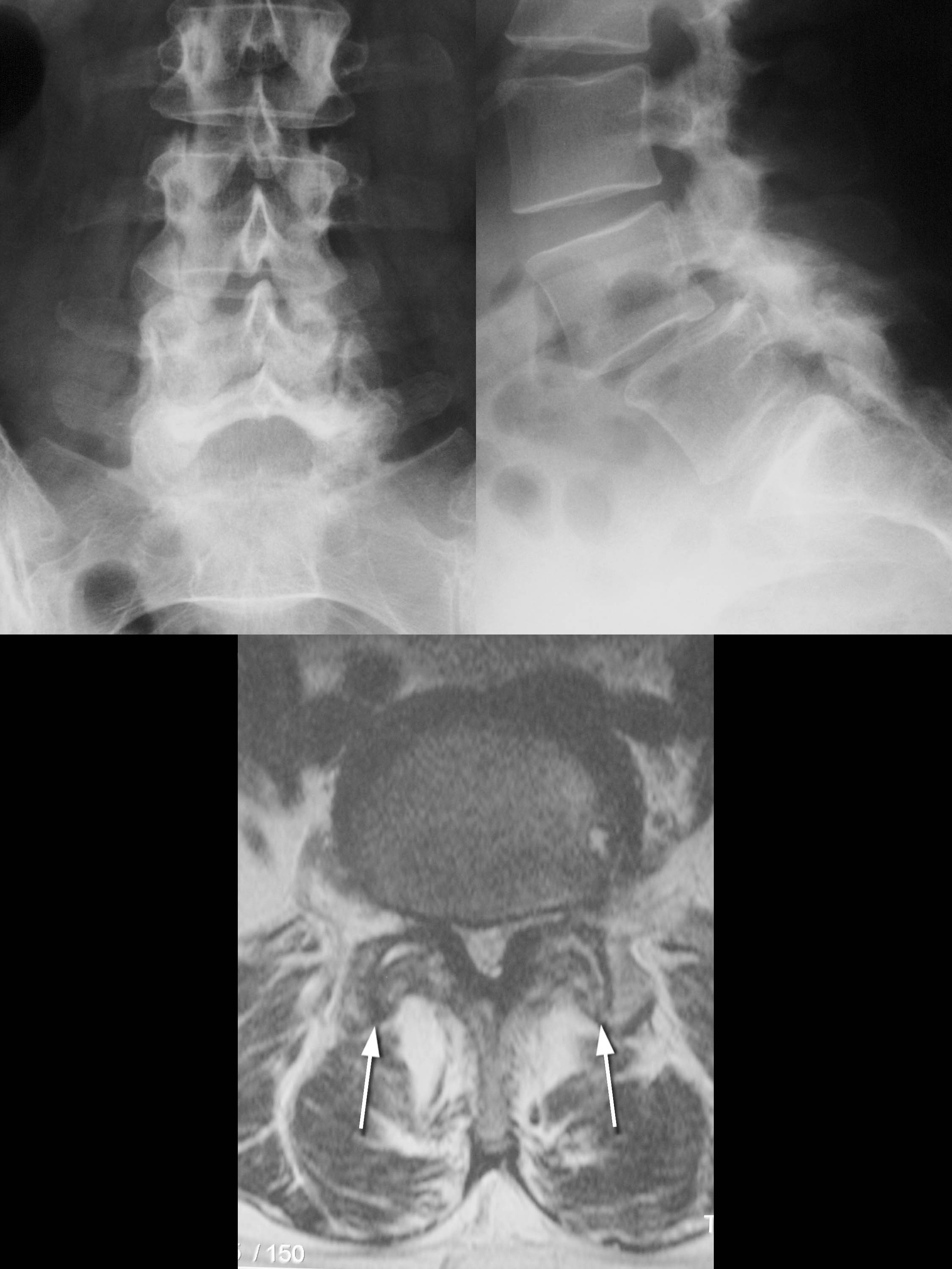
Sobre su fisiopatología se piensa que se produce por una isquemia sufrida por las raíces nerviosas lumbosacras secundaria a compresión por las estructuras que las rodean, (las facetas o carillas articulares hipertrofiadas, el ligamento amarillo, osteofitos vertebrales, tejido cicatricial o discos abombados, protruidos o francamente herniados.[1]
En el diagnóstico diferencial deben considerarse, además de la claudicación vascular, la bursitis trocantérea.
Signos y síntomas
La claudicación neurogénica comúnmente describe dolor, debilidad, fatiga, hormigueo, debilidad, pesadez y/o parestesias que se extienden a las extremidades inferiores.[2] Estos síntomas pueden afectar solo una pierna, pero generalmente afectan a ambas. El dolor de piernas suele ser más importante que el dolor de espalda en personas que tienen ambos.[3] Se distingue clásicamente por síntomas que mejoran o empeoran con ciertas actividades y maniobras. El dolor puede ocurrir al caminar, estar de pie y/o extender la espalda. Sentarse e inclinarse o inclinarse hacia adelante tiende a proporcionar alivio. Los pacientes también pueden informar que el dolor empeora al bajar las escaleras y mejora al subir las escaleras o usar una bicicleta o un carrito de compras. Un «signo de carrito de compras» positivo se refiere al empeoramiento del dolor con la extensión de la columna y mejora con la flexión de la columna.[4]
Si bien estos síntomas comunes suelen estar presentes en muchos pacientes con NC, pueden aparecer síntomas más raros y graves en casos graves de NC . En casos extremos de NC se experimenta una constante incomodidad, dolor o entumecimiento. Esto da como resultado que los pacientes tengan una movilidad reducida y funcionen ya que los movimientos excesivos o constantes causan dolor. El ejercicio y la caminata prolongada a menudo se vuelven difíciles y desencadenan dolor, cansancio, entumecimiento y pesadez en las piernas, la zona lumbar y las caderas.[5] Las tareas comunes como estar de pie durante un período prolongado o levantar objetos pesados pueden volverse cada vez más difíciles de realizar. Además, los pacientes con NC grave pueden experimentar dificultades para dormir, ya que acostarse boca arriba les causa malestar y dolor. En casos muy extremos, puede ocurrir disfunción del intestino o de la vejiga. Sin embargo, esto es una consecuencia de la causa subyacente de NC más que la condición en sí. Como la mayoría de las causas de NC implican un aumento de la presión o daño a los nervios en la parte inferior de la columna, puede ocurrir daño y presión sobre los nervios que se extienden al intestino o la vejiga, lo que lleva a una disfunción intestinal o vesical.[6]
En la exploración física, los pacientes con NC tienen pulsos periféricos normales.[7] El examen neurológico, la elevación de la pierna estirada y el estiramiento del nervio femoral suelen ser normales. Pueden revelarse signos anormales si se observa que el paciente camina hasta que presentan NC. Por ejemplo, se observa una «prueba de agacharse» positiva si inclinarse hacia adelante o agacharse mientras camina alivia los síntomas. Ocasionalmente, los pacientes pueden tener otros signos como pérdida sensorial o cambios en la marcha.[2]
Véase también
- Claudicación
- Claudicación intermitente
Referencias




